【產品介紹】適用于血涂片、細胞涂片或爬片、冰凍切片、石蠟包埋的切片。
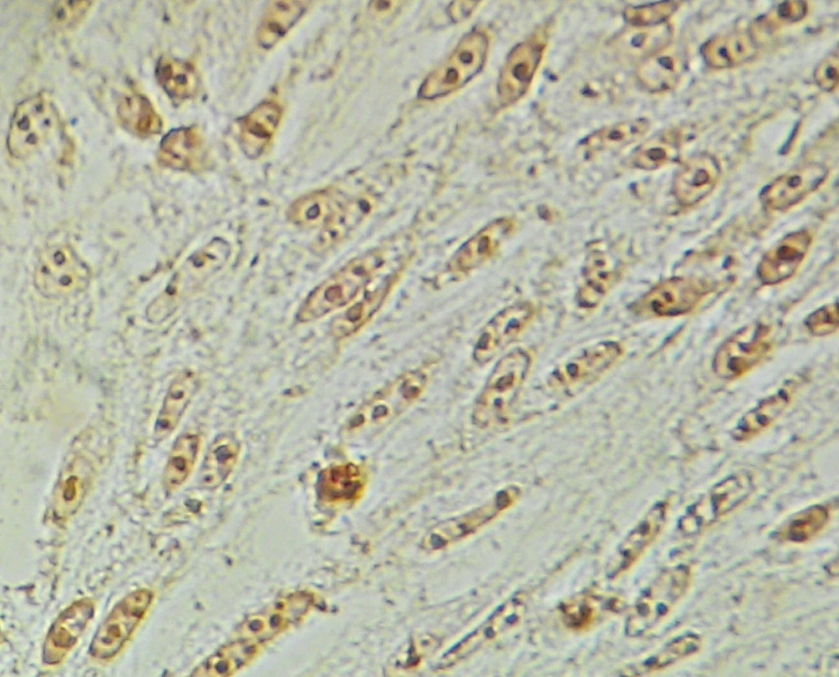
【染色原理】細胞中的堿性磷酸酶,在堿性緩沖液中,催化底物水解,生成物進而與一種穩定的重氮鹽偶聯,生成不溶性的偶氮染料,沉著于有CAKP活性的部位。染色結果為血涂片中細胞核呈紫藍色(蘇木素復染)或綠色(甲基綠復染),陽性者胞漿中出現紅至紅棕色顆粒,有些為棕褐色或咖啡色顆粒。
【所需儀器】光學顯微鏡、玻片、染缸、滴管、秒表、記號筆等。

版權所有 南京建成生物工程研究所有限公司 營業執照 蘇ICP備12006455號
公司地址:南京市玄武區中央路258-27號 新立基大廈1106室 郵政編碼:210009 E-mail:Njjcbio@vip.163.com
訂購熱線:025-83360321 技術支持:025-83360217 025-83360272 (24h熱線) 財務專線:025-83112287 傳真號碼:025-83227943