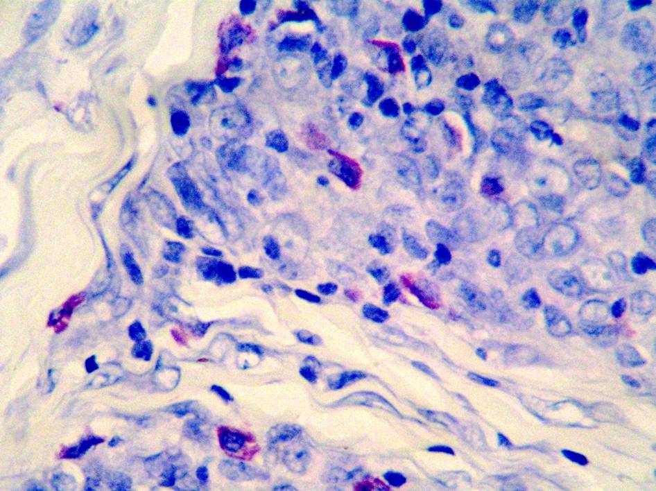
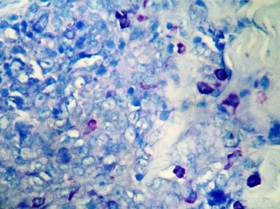
【產品介紹】肥大細胞(Mast?Cell)來源于未分化的間充質細胞,近年來有人認為可能來自胸腺和骨髓。正常多見于小血管周圍,一般在結締組織中都含有少量的肥大細胞,也常見于支氣管周圍和胰的小葉間導管周圍,而在腸系膜的小血管周圍都有大量的肥大細胞。肥大細胞較一般細胞大,直徑約20~30μm。呈圓形或橢圓形;胞核較小,圓形;胞質內充滿粗大并具有異染性的圓形嗜堿性顆粒。
【染色結果】肥大細胞顆粒含有肝素和組織胺等,這些屬于硫酸酯,呈異色性。因此,用易染性染料甲苯胺藍可以使其呈異色性的紅紫色。
【所需儀器】光學顯微鏡、玻片、染缸、滴管、秒表、記號筆等。
本試劑盒主要用以骨髓細胞涂片及血液細胞涂片染色檢查,可鑒別T-淋巴細胞和B-淋巴細胞,前者多為陽性,而后者為陰性。具有簡易、快速、保質期長,結果易于觀察和判斷等優點。

版權所有 南京建成生物工程研究所有限公司 營業執照 蘇ICP備12006455號
公司地址:南京市玄武區中央路258-27號 新立基大廈1106室 郵政編碼:210009 E-mail:Njjcbio@vip.163.com
訂購熱線:025-83360321 技術支持:025-83360217 025-83360272 (24h熱線) 財務專線:025-83112287 傳真號碼:025-83227943